Kariesprophylaxe, insbesondere für Kinder. Den Kindern werden Erfolge und Verbesserungsmöglichkeiten in der Zahnpflege durch Anfärben der Plaque deutlich gemacht. Nach einer Zahnreinigung erfolgt die Fluoridierung und ggf. die Versiegelung der Kauflächen.
Die Zähne werden vorsichtig gereinigt und dem Patienten erklärt und demonstriert, auf welche Weise die Pflege zu Hause erfolgen sollte.
Jeder Mensch hat ein individuelles Karies- und Parodontitis-Risiko. Dem entsprechend wird die Professionelle Zahnreiningung mit einer Fluoridierung gegen Kariesbakterien oder mit einem oberflächlichen Medikament gegen Prodontal-Bakterien abgeschlossen.
Ist der Zahn abgestorben oder im Inneren stark entzündet, ist eine Entfernung des Zahnmarks notwendig.
Mit dieser Methode können Bakterien sehr effektiv und ohne Schmerzen und Nebenwirkungen abgetötet werden. Das angewandte Licht wirkt wie ein Antibiotikum (Cumdente).





Verlorene oder irreparable Zähne sollten möglichst zügig ersetzt werden, um gesundheitlichen Schäden vorzubeugen. Es gibt mehrere Varianten des Zahnersatzes, die wir Ihnen gerne ausführlich erläutern. Bei der Wahl eines zahntechnischen Labors legen wir großen Wert auf Qualität, Ästhetik und eine ausgewogene Preisstruktur.
Wir arbeiten eng mit Mund-Kiefer-Gesichts-Chirurgen zusammen. Gemeinsam suchen wir nach einer guten Lösung für unsere Patienten. Nachdem die Chirurgen die Implantate als belastbar beurteilt haben, setzen wir in ebenfalls engem Kontakt den Zahnersatz mit dem Dentallabor um.
Hier geht es um die Behandlung des Zahnfleisches und des Knochens, der den Zahn umgibt. Der Knochenabbau wird vom Patienten meistens erst bei auftretender Zahnlockerung bemerkt.
Veneers sind vor den Zahn gesetzte Keramik-Plättchen. Es wird nur die äußere Zahnfläche leicht beschliffen. Dadurch kann sehr viel Zahnsubstanz geschont werden. Anwendung bei abgerochenen Zähnen, Zähnen mit unschönen großen Füllungen, optisches Kaschieren von manchen Zahnfehlstellungen.
Es kommen zahnfarbene Kunststoffe, Keramik (Inlays, Veneers, Kronen, Brücken) zum Einsatz. Zähne können unter bestimmten Voraussetzungen gebleicht werden.
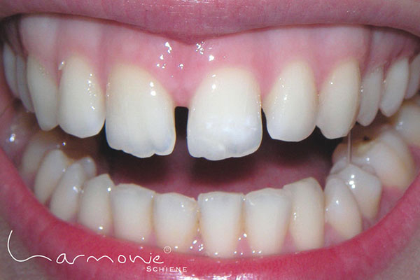
Mit herausnehmbaren Schienen können nach einer Analyse weniger schwerwiegende Engstände oder Lücken korrigiert werden. Sie bekommen vor Behandlungsbeginn ein End-Modell zur Ansicht.



Füllungen werden benötigt, wenn ein Zahn durch Karies beschädigt ist. Dabei wird die angegriffene Zahnsubstanz entfernt und durch eine Füllung ersetzt. Wir beraten Sie zu verschiedenen Materialien und wählen dann gemeinsam eine geeignete Therapie.
Beim Knirschen oder Pressen können die Zähne stark belastet sein. Das führt zu Substanzabtrag und ggf. zu Schmerzen im ganzen Kiefer, Kiefergelenk oder im Muskelbereich. Die Zähne können durch eine Kunststoff-Schiene geschützt werden und die Muskulatur kann sich entspannen. In manchen Fällen ist eine Zusammenarbeit mit einer physiotherapeutischen Praxis empfehlenswert.
In den Fällen, in denen das Schnarchen durch das Einengen der Atemwege infolge Absinken des Unterkiefers zustande kommt, kann mit einer Schiene für die Nächte eine Verlagerung des Unterkiefers günstig sein. Freie Atemwege verringern das Schnarchen. Um andere Ursachen der Schlafstörung auszuschließen, ist eine Zusammenarbeit mit einem Schlafmediziner notwendig.